Las radiografías dentales son una herramienta indispensable para cualquier dentista. Nos ayuda a diagnosticar daños y enfermedades que no son visibles y no se pueden detectar durante un examen de boca rutinario.
Cuando un paciente nuevo viene a nuestra clínica dental, nuestro equipo le suele hacer una ortopantomografía o panorámica dental (siempre y cuando el paciente no nos traiga una reciente) para ver el estado de su boca. También es útil para que la doctora pueda identificar posibles cambios que puedan venir con el tiempo, como el estado de las encías, o el desarrollo de los dientes.
Tipos de radiografías dentales
Hay distintos tipos de radiografías dentales que se dividen en dos tipos:
Radiografias dentales extraorales
La ortopantomografía, también conocida como panorámica dental, es la más común. Es la que se realiza durante una primera visita o durante una revisión general. Consiste en una imagen 2D de toda la boca del paciente.
La telerradiografía se utiliza para los estudios de ortodoncia, para ver la proporción de los huesos del cráneo y su estado general.
El TAC o escáner dental permite al dentista ver en detalle diferentes secciones de la boca. Durante la captura se toman cientos de imágenes, estas se envían a un ordenador que las utiliza para generar un modelo virtual en tres dimensiones de la boca del paciente.
Radiografias dentales intraorales

Son imágenes pequeñas que se toman dentro de la boca del paciente en el mismo gabinete. Se utilizan para diagnosticar caries interproximales o problemas con la raíz de los dientes.
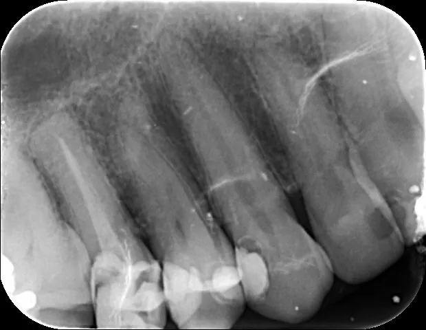
Las radiografías intraorales se utilizan para ver la estructura (raíz y corona) de uno o dos dientes.
Las radiografías de aleta se utilizan para obtener una imagen de las coronas dentales del paciente.
¿Es peligroso?
La toma de radiografías dentales es segura, utilizan una exposición segura de radiación limitando el riesgo para el paciente.
Aún así no es aconsejable para mujeres embarazadas, ya que existe un riesgo mínimo de que produzcan complicaciones en el feto.
Conclusión
Ahora la próxima vez que acuda a su dentista y le realicen una radiografía, la podrá identificar sin ningún problema.
Nuestra clínica dispone de un centro radiológico completamente equipado que nos permite realizar todas estas pruebas en la misma consulta, para la comodidad de nuestros pacientes.